Pune: DPU Super Specialty Hospital, Pimpri, Pune has announced a medical achievement with the successful removal of seven metal screws – five aspirated and two swallowed – in a rare and life-threatening incident. This remarkable case highlights the expertise and patient-centric approach of the team, setting a new benchmark in minimally invasive procedures.
A 19-year-old electrician was admitted to the Emergency Department of the hospital, with complaints of persistent cough, chest pain and breathing issue after an accident while working on a site. The patient, who was fixing aluminium sheets for a false ceiling while standing barefoot on an aluminium sheet, experienced an electric shock after accidentally stepping on a bare electric cable. The shock caused him to fall and suffer transient unconsciousness. During this period, the patient aspirated five screws and swallowed two others, which he had been holding in his mouth as part of his work.
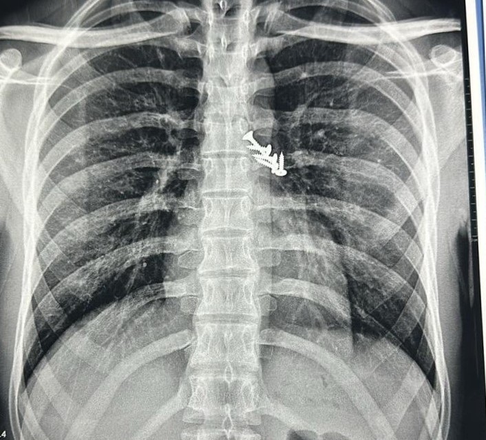
Upon regaining consciousness, the patient experienced a severe bout of coughing lasting 2-3 minutes, followed by persistent cough and chest pain. Diagnostic imaging, including a chest X-ray and plain X-ray of the abdomen, revealed the presence of five screws lodged in the lungs and two screws in the abdomen. Fortunately, screws had not caused any significant tears in the airway.
Under the leadership of Dr. M. S. Barthwal, Professor & HOD, Department of Respiratory Medicine at Dr. D. Y. Patil Medical College, Hospital & Research Centre and his team, a meticulous plan was devised to remove the screws using a flexible airway, a minimally invasive procedure, instead of the more invasive and costly rigid bronchoscopy under general anaesthesia, which is typically required for such large foreign bodies.
The procedure, which lasted three hours, presented significant challenges. All five screws were lodged in the left upper lobe airway and their positions were continuously shifting due to the patient’s persistent coughing, despite effective local anaesthesia. Using advanced tools, including special rat-tooth and Dormia basket forceps, the medical team successfully extracted all five screws. During the procedure, one screw slipped into the oropharynx and was swallowed by the patient. However, within 48 hours, two screws from the abdomen were naturally expelled through the faecal route.
This case is a remarkable feat, not only due to the complexity of the procedure but also because it is among the rarely documented instances of such an aspirated foreign bodies removal using a flexible bronchoscope. By opting for a minimally invasive approach, the team minimised risks, reduced recovery time and lowered costs for the patient, demonstrating the hospital’s commitment to innovative and affordable healthcare.
Hon’ble Dr. (Mrs.) Bhagyashree Patil, Pro-Chancellor, Dr. D. Y. Patil Vidyapeeth, Pimpri, Pune (Deemed to be University), said “We are proud to have successfully managed such a challenging case, saving the patient’s life while setting a new standard in pulmonary interventions. This case is a testament to the skill, dedication and innovative spirit of our medical team. Our hospital remains committed to delivering world-class healthcare through cutting-edge technology and compassionate care. We extend our heartfelt wishes for the patient’s swift and complete recovery.”
Dr. M. S. Barthwal, said “We take pride in our medical team’s ability to expertly manage this extraordinary situation and save the patient’s life. Foreign body aspiration into lungs is more common in children. Common foreign bodies are nuts, grapes, coins, pins and beads. In adults, common foreign bodies are bone fragments, beetle nuts, peas, etc. Aspiration of screws and that also five in number has not yet been reported from India. These kinds of metallic foreign bodies, if not removed promptly, can cause significant damage in lungs requiring major surgery.”







